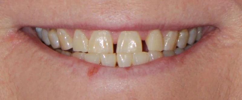
A patient for over 20 years, Helen was once told her smile couldn’t be fixed. Dr. Tran proved otherwise, using veneers and crowns to completely transform her smile and boost her confidence.