Jade’s stunning smile was achieved through veneers, delivering a natural and youthful transformation.
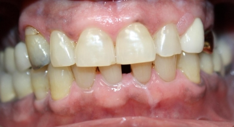
Roland
Before
After
Roland had a collapsed bite and has had pain for years, Dr Tran did a full mouth rehab which opened up his bite so he could chew and eat properly, she also completed the smile line with crowns and veneers. He was extremely grateful for changing his life.
Perlick
Before
After
Before
After
A loyal patient for 20 years, James addressed cracks in his teeth with crowns and veneers to prevent further wear and ensure long-term protection.
Bob
Before
After
Before
After
Bob,a patient of 10 years, underwent a full-mouth rehabilitation that included clear aligners, a bridge, crowns, and veneers to correct his collapsed bite and restore his smile.
Gigi
Before
After
Before
After
Gigi's smile journey included veneers and a gingivectomy, resulting in a balanced, healthy, and beautiful smile.
Michael
Before
After
Before
After
A patient for 11 years, Michael restored his smile with a combination of clear aligners, a bridge, crowns, and veneers. His transformation ensures both function and beauty.
Janice
Before
After
Before
After
Janice completed her smile transformation with a bridge, crowns, and veneers, achieving both improved aesthetics and dental health.
Bethany
Before
After
Before
After
Bethany’s life-changing smile makeover was accomplished with All-on-4 implants, giving her a confident, functional, and beautiful new smile.
Anderson
Before
After
Before
After
Anderson, a patient for 19 years, started with us as a child and returned to Dr. Tran from out of state because she’s the only dentist he trusts. His smile was rejuvenated with veneers.
Jonica
Before
After
Before
After
Jonica’s smile was beautifully enhanced with veneers, providing her with a balanced, radiant appearance.