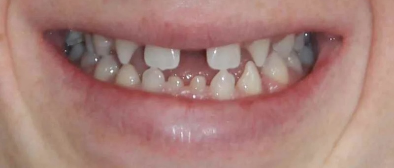
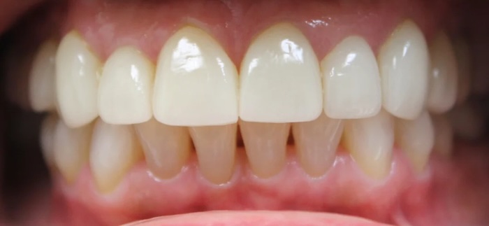
Marianne
Marianne thought is would be impossible to fix her crowding and widen her smile, she always thought she would have to have traditional wire braces and being a professional she did not want to do so. Dr Tran placed her in clear aligners and she was one of our longest aligner treatment plans but she is so happy with the results that she says she tells everyone that will listen about us.