Mon–Thu: 7:00am – 4:00pm, Fri–Sun: Closed
Phone
Hours
Follow us

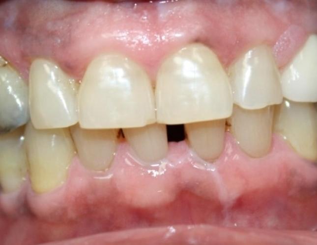
Roland

Roland had a collapsed bite and has had pain for years, Dr Tran did a full mouth rehab which opened up his bite so he could chew and eat properly, she also completed the smile line with crowns and veneers. He was extremely grateful for changing his life.

Anonymous
Roland Before
Roland After